ГЭРБ снимает «маску»: стоматологические проявления, под которыми прячется заболевание + аудио

Фото носит иллюстративный характер. Из открытых источников.
Вопросы, связанные с гастроэзофагеальной рефлюксной болезнью (ГЭРБ), все чаще приобретают междисциплинарный характер и интересуют не только врачей-гастроэнтерологов, но и коллег других специальностей — стоматологов, оториноларингологов, кардиологов, пульмонологов. Причина такого интереса — в возможности этого заболевания скрываться под «масками» и имитировать симптоматику других патологий.

Лариса ОстровскаяЗаведующая кафедрой терапевтической стоматологии Саратовского ГМУ имени В. И. Разумовского (Россия), доктор мед. наук, профессор Лариса Островская, выступая на 10-м Белорусском международном стоматологическом конгрессе, рассказала о тонкостях диагностики красного плоского лишая слизистой оболочки полости рта как одной из «масок» рефлюксной болезни.
Сочетание стоматологических патологий и ГЭРБ — проблема, которая одинаково актуальна как для гастроэнтерологов, так и для стоматологов в связи с тем, что полость рта анатомически и патогенетически связана с органами пищеварения. ГЭРБ еще в 1997 году на 6-й объединенной Европейской гастроэнтерологической неделе в Бирмингеме (Великобритания) была названа болезнью 21-го века. Основную роль в развитии этой патологии играет снижение тонуса нижнего сфинктера пищевода или образование грыж пищеводного отверстия диафрагмы.
В России, согласно исследованиям, ГЭРБ страдают от 18 % до 46 % взрослого населения. Однако считается, что реальная распространенность и прогностическая неблагоприятность этого заболевания существенно выше. Связано это с тем, что люди не обращаются к врачу, а предпочитают купировать симптомы самостоятельно. Интересно то, что самая высокая частота заболевания выявлена у женщин в возрасте от 60 до 74 лет.
При этом 24 % пациенток из этой возрастной категории изначально обращались в поликлинику с совершенно другими жалобами, ГЭРБ была выявлена впоследствии.
Типичный рефлюксный синдром включает в себя изжогу, отрыжку, боль в эпигастрии, синдром повреждения пищевода, выражающийся в развитии рефлюкс-эзофагита, рефлюксной стриктуры, пищевода Барретта. Зачастую по ощущениям пациенты могут сами предположить у себя наличие данного заболевания.
Однако все больший интерес для врачей представляют нетипичные (внепищеводные) симптомы. Клиническая картина ГЭРБ зачастую представлена экстра-эзофагеальной симптоматикой, так называемыми масками ГЭРБ, что нередко приводит к поздней диагностике заболевания и, соответственно, отсутствию адекватной терапии. Это сказывается на прогнозе заболевания и качестве жизни пациента. Доказана связь между ГЭРБ и синдромом рефлюксного кашля, рефлюксного ларингита, рефлюксной астмы, синдромом рефлюксных эрозий зубов. Также эксперты предполагают связь ГЭРБ с фарингитом, синуситом, идиопатическим фиброзом легких, идиопатическим рецидивирующим средним отитом.
В настоящее время в клинических рекомендациях Российской гастроэнтерологической ассоциации «масками» ГЭРБ считаются 4 основных проявления:
— Очень часто как раз классические пищеводные проявления уходят на второй план, и пациенты обращаются к кардиологам, лор-врачам, пульмонологам с жалобами на бронхолегочные симптомы, получают определенное лечение, но видимого облегчения при этом не испытывают, — комментирует Лариса Островская.
Хотя об изменениях в полости рта при заболеваниях внутренних органов известно очень давно и они встречаются довольно часто, тем не менее желудочная кислотность была признана причиной внутриротовых изменений недавно. В 1971 году G. Howden впервые описал так называемую стоматологическую маску ГЭРБ.
Клиническая картина
Проявлениям ГЭРБ в полости рта уделяется особое внимание. Диагностировать стоматологические проявления ГЭРБ может быть затруднительно из-за незначительных клинических изменений на ранних стадиях процесса, полиморфной клинической картины поражения и действия других факторов, способных приводить к сходным поражениям в ротовой полости.
Выделены следующие стоматологические проявления ГЭРБ:
— При этом заболевании встречаются гиперкератотическое утолщение эпителия в виде бляшек, которые располагаются на слизистой оболочке щек в области моляров, увеличение за счет гипертрофического изменения нитевидных сосочков языка и появление эрозивных поверхностей, покрытых фибринозным налетом, на гиперемированном основании. Все описанные изменения напоминают картину поражений при красном плоском лишае — мультифакторном заболевании, которое достаточно часто, в 23 % случаев, сочетается с патологией желудочно-кишечного тракта. Поэтому нам было интересно изучить клинические особенности стоматологических проявлений ГЭРБ, убедиться, есть ли взаимосвязь между красным плоским лишаем и ГЭРБ, и каким образом эти заболевания влияют друг на друга, — объяснила профессор.
За 5 лет, с 2020 по 2024 год, на кафедру терапевтической стоматологии Саратовского медуниверситета обратились 137 пациентов с диагнозом «красный плоский лишай слизистой ротовой полости», что составило 11 % всех обратившихся с заболеваниями слизистой полости рта. 26 из них имели сочетанные поражения кожи и слизистой оболочки полости рта, а большая часть (111 пациентов) — проявления только на слизистой оболочке полости рта.
Наибольшее количество обращений пришлось на пожилой возраст, 80 % пациентов — женщины.
— Таким образом, гендерно и по признаку возраста мы уже можем сказать, что такие заболевания, как красный плоский лишай и ГЭРБ, очень похожи, — акцентировала внимание Лариса Островская. — Мы стали более внимательно обследовать этих пациентов, выяснять анамнез заболевания и жалобы, с которыми они обращались изначально, а также сопутствующие патологии.
Без правильно подобранной антирефлюксной терапии при лечении атипичных форм ГЭРБ не обойтись. Профессор привела несколько клинических случаев, когда грамотное назначение терапии и командная работа специалистов нескольких профилей решали проблему стоматологических проявлений в виде красного плоского лишая при ГЭРБ.
Эрозия эмали

Фото 1. Изменения твердых тканей зубов с небной поверхности в области моляров и премоляров.Пациентка обратилась с жалобами на сухость красной каймы губ и шероховатость, которая появлялась периодически на слизистой оболочке щек. При осмотре в полости рта выявлены типичные для красного плоского лишая изменения твердых тканей зубов с небной поверхности в области моляров и премоляров (см. фото 1).
— Уточнили у пациентки, были ли у нее когда-либо жалобы на изжогу либо другие симптомы со стороны ЖКТ. Оказалось, периодически проявляется изжога и наблюдаются признаки регургитации. Пациентка связывала это с нарушением диеты, употреблением некачественной пищи, перееданием, а также после работ на дачном участке в согнутом состоянии, — обратила внимание профессор.
Такие проявления на твердых тканях зубов (развитие эрозии эмали и кариес) ассоциированы с длительным эрозивным воздействием кислотного рефлюктата на поверхность зубов (изжога, отрыжка кислым и т. д.), поэтому пациентка была направлена на фиброгастродуоденоскопию, где диагностировали грыжу пищеводного отверстия.
— Несмотря на то что у нее были классические проявления красного плоского лишая на слизистой оболочке щек в виде мелких папулезных элементов, которые сливались в классический узор, эти два заболевания пациентка между собой никак не связывала, и только когда мы начали с ней разговаривать, вспомнила, что шероховатость слизистой оболочки щек действительно усиливалась именно тогда, когда у нее была изжога, — рассказала Лариса Островская.
Бляшки на языке

Фото 2. Бляшки на языке, по краю которых располагаются мелкие папулезные элементы красного плоского лишая.Пациентка обратилась с жалобами на жжение в полости рта, повышенную чувствительность языка, его шероховатость, ощущение сухости во рту и боль при глотании, изменение вкусовой чувствительности языка. На языке были видны классические бляшки, по краю которых располагаются мелкие папулезные элементы красного плоского лишая (см. фото 2).
Снижение саливации и появление сухости во рту — симптомы, характерные для ГЭРБ.
— Пациентка никогда не жаловалась на изжогу, но когда мы осмотрели полость рта, то оказалось, что задняя стенка глотки гиперемирована. Это довольно характерный признак ГЭРБ. Проведение ФГДС подтвердило рефлюкс-эзофагит, — прокомментировала профессор.
От дерматолога — к стоматологу
Изначально пациентка обратилась к дерматологам, ее беспокоили зудящие элементы на коже стоп. После подробного визуального осмотра на консультацию были приглашены стоматологи.

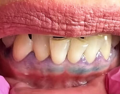
Фото 3. Для четкой визуализации объема расположения гиперкератотических элементов пациентке проводят специальный тест с водным раствором метиленового синего.— Врачей-дерматологов заинтересовало то, что слизистая оболочка твердого неба, как переднего, так и дистального отдела, задняя стенка глотки были гиперемированы. При этом женщина не жаловалась на какие-либо неприятные ощущения в полости рта либо шероховатость слизистой. Скорее всего, это связано с тем, что пораженные элементы располагались на твердом небе, которое само по себе не является гладким, — объяснила врач.
— Дерматологи провели тест для выявления гиперкератотических элементов в полости рта. Для четкой визуализации объема расположения гиперкератотических элементов пациентку попросили прополоскать рот водным раствором метиленового синего. Были выявлены классические папулезные элементы типичной формы (см. фото 3).
Пациентка, как выяснилось, имела и типичные проявления рефлюкс-эзофагита.
Тем не менее терапия не приносит облегчения пациентам в том случае, если назначается только по классической схеме лечения красного плоского лишая на слизистой полости рта. Позитивный результат дает в комбинации с препаратами из группы ингибиторов протонной помпы (ИПП).
В сочетании с кожными проявлениями

Фото 4. Проявления красного плоского лишая на слизистой оболочке десны.— Встречаются и атипичные проявления красного плоского лишая, к примеру, на слизистой оболочке десны (см. фото 4). В данном случае к верному диагнозу нас подтолкнуло также наличие у пациентки кожных проявлений в виде гиперемированных папул с сеткой Уикхема на наружной поверхности предплечий и тыльных поверхностей кистей (см. фото 5).

Фото 5. —Гиперемированные папулы с сеткой Уикхема на тыльных поверхностях кистейПациентку же беспокоило поражение тканей пародонта. Она регулярно обращалась к стоматологу-пародонтологу, который проводил профессиональную гигиену, однако признаки кровоточивости у данной пациентки не проходили. В полости рта при окраске метиленовым синим мы увидели достаточно плотный гиперкератотический налет, который не снимался при поскабливании. Ранее ей был выставлен диагноз ГЭРБ, но назначенные препараты пациентка принимала от случая к случаю, что и привело к развитию проявлений красного плоского лишая на слизистой рта.
Псевдоаллергический компонент

Фото 6. Во время обострения ГЭРБ наблюдаются ярко выраженные гиперемия и отек.Если пациенты приходят во время обострения ГЭРБ, при осмотре видна уже не застойная гиперемия, а ярко выраженные гиперемия и отек (см. фото 6).
Здесь к характерной для красного плоского лишая иммунологической реакции гиперчувствительности замедленного типа при ГЭРБ присоединяется так называемый псевдоаллергический компонент, что подтверждается повышением в крови уровня гистамина при нормальных показателях IgE. Только стоматологическое лечение в данном случае не дает никакого эффекта. Результативным оно будет лишь в том случае, если стоматологи работают в комбинации с врачами-дерматологами и гастроэнтерологами.
Пациенты с ГЭРБ также отмечают, что в период обострения основного заболевания очаг поражения на слизистой ротовой полости увеличивается в размере, в период ремиссии может уменьшаться в размерах либо даже полностью исчезать.
Candida у края бляшки

Фото 7. Рост Candida albicans на пораженных участках слизистой.Рефлюкс и закисленная среда в полости рта создают условия для роста большинства грибов. И такие грибы, как Candida аlbicans, могут вегетировать у края бляшки красного плоского лишая (см. фото 7) и, соответственно, обладают повышенной адгезией к эпителиальным клеткам.
— Одна из пациенток обратилась в нашу клинику с жалобами на появление белого, трудно снимающегося налета на десне. Она лечилась у пародонтолога по поводу кровоточивости десен и выполняла аппликации различными препаратами, которые назначал ей врач. Пациентка посчитала, что белый налет на десне появился в результате длительного использования этих препаратов. Однако помимо налета при осмотре выявлены эрозивные поверхности по переходной складке с распространением на слизистую оболочку щеки, — объяснила Лариса Островская.
— После того как было проведено микробиологическое исследование и обнаружены грибы Candida в активном состоянии вегетации, пациентке назначили противокандидное лечение. На стадии эпителизации по краю образования на десне появились мелкие папулезные элементы. Пациентка проходила лечение у стоматолога и дерматолога. Объем гиперкератоза уменьшился, но полностью не исчез, и в последующем было рекомендовано хирургическое иссечение.
Иммуногистохимическое исследование слизистой полости рта, выполненное пациентке, показало увеличение числа клеток, продуцирующих синтазу оксида азота, т. е. усиливающих воспалительный процесс и деструктивные изменения на фоне снижения клеток, которые продуцируют мелатонин, нормализующий состояние слизистой полости рта. Исследование биоптата пищевода также выявило гиперплазию эпителиальных клеток, секретирующих NO-синтазу. Таким образом, эти исследования продемонстрировали параллельные изменения как на слизистой полости рта, так и в пищеводе, что подтверждает взаимосвязь двух заболеваний.
По статистике, в 24 % случаев пациенты не помнят, не знают или никак не связывают между собой заболевания полости рта и ГЭРБ.
В большинстве случаев внепищеводные симптомы выходят на первый план, поэтому именно врач-стоматолог, зная определенные их проявления на тканях зуба и слизистой оболочке полости рта, может выступить в качестве эксперта в диагностическом поиске ГЭРБ. А правильно подобранную терапию и успешный результат лечения зачастую можно получить только при совместной работе врачей разного профиля.
Источник: medvestnik.by
Комментарии закрыты.