Миксома сердца. Случай из практики

Наталья Карманова
Новообразования сердца относятся к относительно редкой патологии. Около 80 % всех первичных опухолей сердца носят доброкачественный характер. Самой распространенной является миксома. Хотя по гистологическому строению миксомы относятся к доброкачественным опухолям, по клиническому течению в связи с частыми осложнениями (эмболии, недостаточность кровообращения, внезапная смерть из-за обтурации путей притока и оттока крови) прогноз без проведения оперативного лечения неблагоприятен.
Особенности новообразования
В изучении миксом интерес вызывают их уникальная локализация, различные клинические проявления и неустановленный гистогенез. Миксома может располагаться в любых камерах сердца, но наиболее часто — в левом предсердии в области овальной ямки межпредсердной перегородки. В правом предсердии встречается примерно в каждом 5-м случае, реже описывают миксому фиброзных колец, створок или заслонок клапанов сердца, устьев аорты или легочной артерии. Этиология миксом окончательно не определена.
При исследовании с помощью электронной микроскопии в цитоплазме звездчатых клеток опухоли были найдены антигены вируса Коксаки В4 и частицы, напоминающие вирусы, однако при этом вирусную культуру из клеток опухоли получить не удалось.
По данным кардиохирургов, макроскопически отмечают 3 вида миксом сердца:
Миксомы сердца разнообразны по соотношению клеток опухоли и слизеподобной межклеточной стромы. Даже в различных частях одной и той же опухоли наблюдается весьма значительное различие соотношения опухолевых клеток и слизеподобной стромы. Клетки опухоли также имеют различную форму: звездчатые, веретено-образные, округлые или же могут быть неправильной формы. Расположены клетки миксомы в межклеточном матриксе изолированно, в виде пар или различного размера кластеров. Иногда опухолевые клетки образуют концентрические фигуры. На поверхности миксомы часто бывают отложения фибрина, иногда встречаются участки кальциноза.
Клинический пример
В деревне по месту жительства был обнаружен труп мужчины 58 лет без признаков насильственной смерти. Для установления причины смерти была назначена судебно-медицинская экспертиза.
Из медицинской карты амбулаторного больного установлено, что он наблюдался в поликлинике с 2013 года, обращался для прохождения профосмотров. Выставлялись следующие диагнозы: субатрофия левого глаза, гиперметропия слабой степени, начальная осложненная катаракта правого глаза в 2013, 2014, 2017 годах. Последняя запись датировалась концом 2017 года (почти за 3 года до смерти) врачом-неврологом. Жалоб на момент осмотра не имелось. Анамнез: ЧМТ, эпиприпадки, ОНМК, приступы с потерей сознания отрицает. АД 130/80 мм рт. ст. Сопутствующие заболевания: субатрофия левого глаза.
При внутреннем исследовании трупа в грудной полости справа обнаружено около 1 450 мл светло-желтой мутноватой жидкости, слева — около 1 200 мл. В брюшной полости — около 250 мл светло-желтой мутноватой жидкости. Правое и левое легкие сращены по боковым поверхностям с внутренней поверхностью грудной полости рыхлыми белесовато-серыми спайками. Верхняя и нижняя полая вены умеренно кровенаполнены. Сердечная сумка напряжена, тонкая, эластичная, полупрозрачная, гладкая, блестящая. В сердечной сумке около 15 мл светло-желтой прозрачной жидкости. Сердце размерами 15×23×10 см, массой 1 464 грамма. Венечные артерии в верхних и средних отделах утолщены невозвышающимися и возвышающимися над поверхностью внутренней оболочки белесовато-желтыми, плотноватыми, овальными образованиями с ровной поверхностью, занимающими около 30 % поверхности артерий и кольцевидно суживающими просветы на 1/4.
В правом предсердии определяется плотное образование, округлой формы, белесовато-желтого цвета с четкими контурами, поверхность его гладкая, размерами 16×12 см, на разрезе толщиной 8,5 см, сращено с мышечной тканью правого предсердия. В центре образования полость диаметром 5,6 см, в которой содержится около 50 мл мутной желтой жидкости. В остальных отделах мышечная ткань дрябловатая, на разрезах неоднородного светло-коричневого цвета с тонкими белесоватыми прослойками, во всех отделах сердца. Толщина стенки левого желудочка — 1,7 см, правого — 0,6 см, межпредсердной перегородки — 0,8 см, межжелудочковой перегородки — 1,9 см. Внутренняя оболочка левого предсердия и желудочков гладкая, в полостях темно-красная, жидкая кровь. Сухожильные нити укорочены, сосочковые мышцы незначительно утолщены, полости сердца расширены, преимущественно в левых отделах. Створки клапанов сердца, аорты, легочного ствола белесоватые, тонкие, эластичные. Отверстия клапанов проходимы. Длина окружности аорты над клапанами — 6 см, легочной артерии — 8,5 см. Аорта утолщена за счет множественных выступающих в просвет белесоватых плотных бляшек с ровными поверхностями, занимающими около 30 % поверхности внутренней оболочки, внутренняя оболочка аорты светло-желтая. Длина окружности аорты в грудном отделе — 4 см, в брюшном — 3,5 см, края на поперечном разрезе разошлись на 3,5 см. Нижняя полая вена эластичная, внутренняя оболочка светло-голубая, гладкая.
На судебную (медицинскую) гистологическую экспертизу с целью установления морфологических изменений взяты кусочки головного мозга, сердца, печени, селезенки, почек, правого надпочечника, поджелудочной железы, аорты, легких, передней стенки правого предсердия, правого желудочка, образования в правом предсердии.
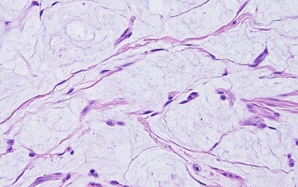
Микроскопически при исследовании немаркированных препаратов сердца, правого желудочка, передней стенки правого предсердия и образования в правом предсердии выявлены широкие полосы роста опухолевой миксоидной ткани с множеством веретено-образных, звездчатых клеток, немногочисленными крупными полиморфными и гигантскими многоядерными клетками и аморфным межуточным веществом. В опухолевой ткани разновеликие очаговые круглоклеточные инфильтраты из лимфоидных элементов, плазматических клеток, небольшие лимфатические узлы, разнокалиберные тонкостенные сосуды умеренного кровенаполнения, а также крупные поля некроза и ткани с распадом, неразличимым строением, выраженной диффузной лейкоцитарной инфильтрацией и наложением гнойно-некротических масс, тканевого детрита на поверхности (см. фото 1, 2 внизу).
Ввиду выявленной редко встречающейся в судебно-медицинской практике патологии получена консультация заведующего патологоанатомическим отделением Могилевского областного онкологического диспансера, который подтвердил гистологическую верификацию выявленной опухоли.
Результаты исследований
Результаты судебной (медицинской) гистологической экспертизы: миксома сердца с поражением правого предсердия, правого желудочка и немаркированных препаратов предсердия и стенки левого желудочка с крупноочаговыми некрозами и участками распада. Специфический туберкулезный лимфаденит паратрахеальных лимфоузлов. Серозный катаральный трахеобронхит. Серозная пневмония правого и левого легкого. Участки дистелектазов, очаговая острая эмфизема в легких. Признаки шунтирования кровотока, диффузная белковая дистрофия эпителия почек. Повышение функциональной активности коркового слоя надпочечников. Морфологические признаки ИБС: атеросклероз стенки венечной артерии в стадии липосклероза, гиалиноз стенок интрамуральных артериол, мелкоочаговый, сетчатый кардиосклероз, очаговая гипертрофия и атрофия кардиомиоцитов. Признаки хронического венозного застоя в печени («мускатная печень»). Очаговый ангионефросклероз. Артериологиалиноз, очаговый отек головного мозга. Перидуктальный фиброз в поджелудочной железе.
На основании результатов судебно-медицинских исследований эксперт пришел к выводу, что смерть мужчины наступила от хронической недостаточности кровообращения, развившейся в результате имевшегося при жизни образования — миксомы сердца.
Микрофотография 1. Опухолевая ткань правого желудочка (препарат № 8). Окраска: гематоксилин-эозин. Ув. 10×40.
Микрофотография 2. Опухолевая ткань правого предсердия (препарат № 7).Окраска: гематоксилин-эозин. Ув. 10×20.
Источник: medvestnik.by
Комментарии закрыты.