Острый миелоидный лейкоз у детей

Фото носит иллюстративный характер. Из открытых источников.
Острый миелоидный лейкоз у детей
По показателям лечения острого лимфобластного лейкоза у детей Беларусь вышла на 8-е место в мире, опередив такие страны, как США, Израиль, Япония, Финляндия и др. (по данным The Lancet 2017 года). На сегодняшний день более 90 % пациентов детского возраста с данным видом лейкоза удается излечить. Однако существуют злокачественные заболевания гемопоэтической ткани, которые протекают более агрессивно и сложнее поддаются терапии. К таким заболеваниям относится острый миелоидный лейкоз у детей.
Уровень заболеваемости

Юлия Баровская, ведущий научный сотрудник научного отдела РНПЦ детской онкологии, гематологии и иммунологии, доцент кафедры детской онкологии, гематологии и иммунологии БелМАПО, кандидат мед. наук.Острый миелоидный лейкоз (ОМЛ) представляет собой гетерогенную группу злокачественных заболеваний гемопоэтической ткани, при которой происходит клональная экспансия аномальных предшественников миелопоэза в костном мозге, крови, печени, селезенке, реже в некроветворных органах.
ОМЛ — относительно редко встречающееся злокачественное заболевание. Уровень заболеваемости ОМЛ увеличивается с возрастом, средний возраст выявления составляет 63 года. На долю ОМЛ приходится до 90 % всех острых лейкозов у взрослых, тогда как в детском возрасте этот показатель составляет около 20 %.
По данным республиканского канцер-регистра, заболеваемость ОМЛ у детей в Беларуси составляет 0,6–0,8 на 100 тысяч детского населения. Ежегодно в нашей стране насчитывается около 10–12 случаев впервые выявленного ОМЛ среди детей в возрасте от 0 до 18 лет. Чаще всего ОМЛ выявляется в первые 2 года жизни и в подростковом возрасте.
ОМЛ отличается чрезвычайно тяжелым и агрессивным течением. Эффективность лечения детей с ОМЛ значительно ниже, чем детей с острым лимфобластным лейкозом.
Этиология и патогенез
ОМЛ является следствием повреждения (мутации) в генетическом материале кроветворной клетки-предшественницы, что приводит к потере способности к нормальной дифференцировке и избыточной пролиферации патологических клеток. Мутантный клон достаточно быстро вытесняет нормальные кроветворные клетки, замещая собой весь гемопоэз. Лейкемические клетки покидают костный мозг и инфильтрируют различные органы и ткани (селезенку, печень, лимфоузлы, ЦНС, кожу и др.). Тот факт, что патогенез ОМЛ связан с генетическими поломками, подтверждается обнаружением различных хромосомных аберраций (транслокаций, делеций, инверсий и т. д.) в лейкемических клетках.
В большинстве случаев конкретная причина возникновения ОМЛ остается неизвестной. Однако существует несколько предрасполагающих факторов, которые значительно увеличивают риск развития этого заболевания. К ним относятся ионизирующая радиация, химические мутагены, предшествующая химио- и лучевая терапия по поводу злокачественного новообразования.
Ряд врожденных и наследственных синдромов могут повышать вероятность развития ОМЛ. Прежде всего это наследственные болезни, сопровождающиеся нестабильностью генотипа, — со спонтанными разрывами хромосом, нерасхождением соматических или половых хромосом (болезни Дауна, Фанкони и др.), и болезни, связанные с дефектами иммунитета (болезни Луи-Бар, Брутона и др.). Так, например, при синдроме Дауна вероятность развития ОМЛ повышается в 10–18 раз.
Клиническая картина
В основном клинические проявления связаны с замещением нормальной гемопоэтической ткани лейкемическими клетками (анемия, тромбоцитопения, нейтропения) и инфильтрацией ими различных органов. Чаще всего болезнь проявляется c анемического и геморрагического синдромов, возможны интоксикация и лихорадка, связанные со вторичными инфекциями. Геморрагический синдром может быть различной степени тяжести, — от петехиальных высыпаний до тяжелых кровотечений (см. рис. 1).

Рисунок 1. Геморрагическая сыпь у пациента с ОМЛ.
Увеличение печени, селезенки и лимфатических узлов регистрируется у 30–50 % пациентов. Для детей первого года жизни характерно быстрое развитие органомегалии и лимфаденопатии. Возможны симптомы, обусловленные экстрамедуллярным поражением различной локализации, — боли в костях и суставах, инфильтрация кожи и слизистых. У 5–10 % детей могут быть проявления со стороны ЦНС в виде нарушения функции черепно-мозговых нервов или общемозговой симптоматики.
Диагностика
В анализе крови может быть как лейкопения, нормальное количество лейкоцитов, так и лейкоцитоз, вплоть до экстремально высоких цифр (200–300×109/л). Бластные клетки могут не определяться в анализе или, наоборот, составлять 90–95 % всех лейкоцитов. Тромбоцитопения встречается часто, но ее отсутствие не исключает диагноза ОМЛ.

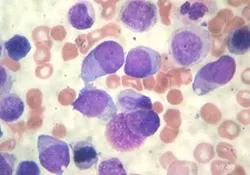
Рисунок 2. ОМЛ с признаками созревания.Для диагностики ОМЛ необходимо проведение костномозговой пункции. Субстратом опухоли являются миелобласты (см. рис. 2).
Диагноз ОМЛ ставится на основании обнаружения в пунктате костного мозга не менее 20 % бластных клеток.
Обязательным является проведение цитохимического исследования, иммунофенотипирования, молекулярно-генетического и цитогенетического исследований бластных клеток.
Для установления вовлечения ЦНС проводится люмбальная пункция.
Согласно современной классификации опухолей гемопоэтической и лимфоидной ткани, предложенной ВОЗ, в диагностический алгоритм при ОМЛ обязательно включено определение генетических аберраций.
Выделяют категории ОМЛ:
→ ОМЛ с повторяющимися генетическими аномалиями;
→ ОМЛ с изменениями, связанными с миелодисплазией;
→ миелоидные новообразования, связанные с терапией;
→ ОМЛ неуточненные;
→ миелоидная саркома;
→ миелоидные пролиферации, связанные с синдромом Дауна.
Прогноз и лечение
Одним из важнейших факторов прогноза при ОМЛ являются молекулярно-генетические изменения в лейкемических клетках. На основании обнаружения различных генетических аберраций возможно стратифицировать пациентов на группы риска: благоприятного, промежуточного и неблагоприятного прогноза. Подразделение пациентов с ОМЛ на эти группы целесообразно с точки зрения установления вероятности развития рецидива и выбора тактики терапии.
Лечение ОМЛ у детей основано на интенсивной полихимиотерапии, которая должна быть дополнена трансплантацией гемопоэтических стволовых клеток (ГСК) от полностью совместимого родственного (брат/сестра) или альтернативного (неродственного, гаплоидентичного) донора у пациентов с неблагоприятным прогнозом.
Вторым важным фактором прогноза при ОМЛ является ответ на терапию, который в настоящее время оценивается не только морфологически, но и с применением более высокочувствительных молекулярно-генетических и иммунологических методов, позволяющих обнаружить 1 лейкемическую клетку среди 104–106 исследуемых.
Опыт РНПЦ ДОГИ в лечении ОМЛ
В Беларуси в лечение пациентов детского возраста с ОМЛ интенсивная полихимиотерапия по протоколу AML-BFM-87 была внедрена в 1990 году. Восьмилетняя бессобытийная и общая выживаемость пациентов, получивших лечение по данному протоколу, составила 24 % и 25 % соответственно.
Введение в 1992 году программы терапии «ОМЛ-Минск-92» позволило улучшить результаты лечения и достичь семилетней бессобытийной и общей выживаемости 36 % и 48 % соответственно. Дальнейшие успехи в лечении ОМЛ у детей в нашей стране связаны с внедрением нового протокола «ОМЛ-ММ-2000», разработанного кооперативной группой Москва/Минск, предусматривающего дифференцированную терапию пациентам различных прогностических групп в зависимости от молекулярно-генетических изменений в бластных клетках (пятилетняя бессобытийная выживаемость 42 %). Анализ результатов лечения по протоколу «ОМЛ-ММ-2000» позволил провести более детальную стратификацию пациентов на группы риска и разработать последующие протоколы лечения «ОМЛ-ММ-2006» (2006–2014 гг.) и «ОМЛ-ММ-2014» (с 2014 г.).
Улучшение результатов лечения в последние десятилетия связано с достижениями в области молекулярной генетики и детализацией алгоритмов стратификации пациентов детского возраста с ОМЛ по группам риска, оптимизацией режимов полихимиотерапии, применением таргетной терапии, усовершенствованием сопроводительного лечения, расширением показаний для трансплантации ГСК, а также внедрением клеточной иммунотерапии.
При проведении протокола «ОМЛ-ММ-2014» вероятность общей выживаемости пациентов составляет 56 % (период наблюдения 7 лет). В благоприятной прогностической группе этот показатель достигает 72 %, в промежуточной — 50 %, а в неблагоприятной — 45 %. Общая выживаемость пациентов детского возраста после проведения трансплантации ГСК составляет 90 %. Основными причинами неудач в лечении ОМЛ являются рецидив заболевания (развивается у 12,3 % пациентов) и смерть в ремиссии от инфекционно-токсических осложнений (14,8 %).
С 2014 года в РНПЦ ДОГИ в лечение ОМЛ включена иммунотерапия натуральными киллерными клетками. Это клетки врожденного иммунитета, которые оказывают цитотоксическое действие на трансформированные, злокачественные клетки. Донором натуральных киллерных клеток обычно выступает мать или отец ребенка. В лабораторных условиях полученные от донора натуральные киллеры культивируют вместе со специальной линией фидерных клеток, что обеспечивает их активацию и многократный прирост. Затем полученный клеточный продукт вводят пациенту. Данный метод показал себя как безопасный и эффективный в отношении ОМЛ.
В настоящее время продолжается разработка методов лечения, с помощью которых возможно дальнейшее снижение количества рецидивов и одновременное уменьшение токсичности терапии ОМЛ.
Клинические случаи
Пациентка Щ., 15 лет. Считает себя больной в течение двух недель, когда появились признаки острого респираторного заболевания (повышение температуры до 38 °С, боль в горле, кашель). Обратилась к педиатру, получала лечение амбулаторно. Отмечалась положительная динамика состояния, но девочка обратила внимание на увеличение подчелюстных лимфоузлов. Направлена на консультацию к хирургу, который назначил ОАК и антибактериальную терапию. В ОАК обнаружены лейкоцитоз и бласты. Направлена в РНПЦ ДОГИ.
При поступлении в центр (26.03.2020) состояние тяжелое, компенсированное. Температура тела 37,5 °С. Кожные покровы бледные, геморрагическая сыпь на нижних конечностях. Видимые слизистые чистые. Пальпируются заднешейные лимфоузлы размером 1,5–2 см, подчелюстные — 1,5–2 см, плотные, безболезненные. Тоны сердца ясные, ритмичные. ЧСС 100 уд/мин. Дыхание везикулярное, хрипов нет. ЧД 16 в минуту. Живот мягкий, безболезненный. Печень не пальпируется, селезенка +2,0 см из-под края реберной дуги.
ОАК: Hb 96 г/л, эритроциты 2,73×109/л, тромбоциты 34×109/л, лейкоциты 105×109/л, бласты 84 %, базофилы 1 %, эозинофилы 2 %, палочкоядерные нейтрофилы 3 %, сегментоядерные нейтрофилы 5 %, лимфоциты 4 %, моноциты 1 %.
БАК: ЛДГ 908 МЕ/л (норма 130–250 МЕ/л), остальные показатели не изменены.
Миелограмма: пунктат костного мозга очень богат клеточными элементами, бласты составляют 78 % от общего количества. Мегакариоциты снижены, не функционируют. Бластные клетки средних размеров, с вариабельной цитоплазмой, умеренно базофильного цвета, в некоторых присутствуют немногочисленные азурофильные гранулы. Ядра с нежной структурой хроматина, содержащие 1–2 ядрышка.
Цитохимические реакции: миелопероксидаза — реакция слабоположительная в 10 % бластных клеток, липиды — реакция положительная в 26 % бластов,
PAS-реакция на гликоген положительная в 10 % бластных клеток в гранулярной и диффузной форме. Исходя из морфологических особенностей бластных клеток и цитохимических реакций, бласты можно отнести к ОМЛ М1 по FAB-классификации.
Иммунофенотипирование костного мозга: выделена популяция атипичных клеток с фенотипом миелобластов ранней стадии дифференцировки.
Молекулярно-генетическое исследование костного мозга: обнаружена мутация FLT3-ITD (англ. fms-like tyrosine kinase 3 (FLT3)).
Цитогенетическое исследование костного мозга: 46, XX [20].
Исследование спинномозговой жидкости: белок 0,22 г/л, цитоз 1×106/л, моноциты — 2 в препарате.
УЗИ ОБП: увеличение селезенки (+2,5–3 см); диффузные изменения печени; гиперплазия лимфоузлов у ворот печени, в проекции поджелудочной железы, подвздошных лимфоузлов.
КТ ОГК: без видимых патологических изменений.
Выставлен диагноз: острый миелоидный лейкоз, М1 по FAB-классификации, ранней стадии дифференцировки, ЦНС I. Период разгара.
Учитывая гиперлейкоцитоз, пациентка была госпитализирована в ОРИТ для проведения циторедуктивной профазы (вепезид, даунорубицин).
После получения результатов молекулярно-генетического анализа (мутация FLT3-ITD) установлена неблагоприятная группа прогноза по развитию рецидива. Пациентке показано проведение трансплантации ГСК.
Для достижения ремиссии проведено два блока полихимиотерапии. Ремиссия констатирована 14.04.2020. Далее пациентке проведен блок консолидирующей полихимиотерапии. В межкурсовой период с учетом наличия мутации в гене FLT3 пациентка получала таргетный препарат сорафениб (мультикиназный ингибитор).
Учитывая отсутствие братьев и сестер, был выполнен поиск неродственного донора. 15.09.2020 пациентке выполнена аллогенная неродственная HLA-совместимая трансплантация ГСК. Донором явилась женщина-волонтер (Центральный реестр доноров гемопоэтических стволовых клеток Беларуси), 45 лет.
В настоящее время пациентка находится в ремиссии, наблюдается у гематолога.
Пациент Ш., 8 лет. За месяц до обращения появились признаки острого респираторного заболевания. Получал лечение амбулаторно. Через две недели возобновились фебрильные подъемы температуры, появилась слабость. Выполнен ОАК, обнаружены изменения, направлен в РНПЦ ДОГИ.
При поступлении в центр (23.11.2016) состояние тяжелое, компенсированное. На момент осмотра с правой половины носа скудное кровянистое отделяемое. Температура тела 36,6 °С. Кожные покровы бледные, геморрагическая сыпь на коже груди и нижних конечностей. Периферические лимфоузлы не увеличены. Тоны сердца ясные, ритмичные. ЧСС 102 уд/мин. Дыхание везикулярное, хрипов нет. ЧД 19 в минуту. Живот мягкий, безболезненный. Печень +1,0 см из-под края реберной дуги, селезенка не увеличена.
ОАК: Hb 114 г/л, эритроциты 4,36×109/л, тромбоциты 20×109/л, лейкоциты 25×109/л, бласты 50 %, эозинофилы 14 %, юные нейтрофилы 1 %, палочкоядерные нейтрофилы 1 %, сегментоядерные нейтрофилы 3 %, лимфоциты 28 %, моноциты 3 %.
БАК: ЛДГ 1149 МЕ/л (норма 130–250 МЕ/л), остальные показатели не изменены.
Миелограмма: пунктат костного мозга гиперклеточный, бласты составляют 55 % от общего клеточного состава. Мегакариоциты не найдены. Тромбоцитов мало. Эритрокариоциты составляют 26 % от общего клеточного состава. Нельзя не отметить присутствие в пунктате эозинофилов, которые составляют 9 %. Морфология бластов: клетки среднего размера с узким ободком голубой цитоплазмы; ядра бластов округлые или овальные, содержащие 1 или несколько нуклеол; в цитоплазме некоторых бластов содержатся немногочисленные азурофильные гранулы; встречаются бластные клетки с палочками Ауэра.
Цитохимия: миелопероксидаза 100%, липиды 100 %, гликоген гранулярный 70 %. По морфологическим и цитохимическим признакам картина ОМЛ М2 по FAB-классификации.
Иммунофенотипирование костного мозга: ОМЛ промежуточных стадий дифференцировки.
Молекулярно-генетическое исследование костного мозга: химерные онкогены не обнаружены.
Цитогенетическое исследование костного мозга: 46, XУ,?del(13)(p11) [5]/46, XУ[25].
Исследование спинномозговой жидкости: белок 0,36 г/л, цитоз 2×106/л, лимфоциты — 1 в препарате, моноциты — 2 в препарате.
УЗИ ОБП: диффузные изменения печени, почек; селезенка +1,0–1,5 см.
КТ ОГК: картина невыраженных интерстициальных изменений легких.
Выставлен диагноз: острый миелоидный лейкоз, М2 по FAB-классификации, ЦНС I. Период разгара.
Пациент получил полихимиотерапию согласно промежуточной группе прогноза. Для достижения ремиссии проведены 2 курса индукционной полихимиотерапии. Ремиссия констатирована 28.12.2016. Далее в качестве консолидации ремиссии пациенту проведено два курса высокодозной полихимиотерапии и курс лимфодеплетирующей химиотерапии с последующей трансфузией донорских натуральных киллерных клеток (донором стала мать). Специальное лечение завершено в мае 2017 года.
Пациент до настоящего времени находится в ремиссии.
Источник: medvestnik.by
Комментарии закрыты.