Аномалии развития билиарного тракта у детей и их клинико-патогенетическое значение + аудио

Фото носит иллюстративный характер. Из открытых источников.
В заключениях специалистов по ультразвуковой диагностике весьма часто встречается аномальная форма желчного пузыря у детей. При этом одни лечащие врачи мало внимания обращают на такие заключения, считая их не столь важными и не имеющими никакого клинического значения. У других же возникает ряд вопросов. Давайте разберемся, что такое АФЖП, какие еще аномалии желчного пузыря и протоков встречаются и какое значение они имеют для клинициста.
Суть вопроса
В настоящее время интерес к аномалиям развития как билиарного тракта, так и других органов и систем, и частота их выявления значительно возросли. В первую очередь это объясняется широким применением в клинической практике современных методов диагностики, которые в совокупности позволяют установить анатомо-топографические особенности различных отделов билиарного тракта.
Выявление аномалий развития в различных отделах желчевыводящей системы связано с вопросом об их клиническом значении, а также о возможной роли в формировании заболеваний как самого билиарного тракта, так и других органов ЖКТ.
Аномалии билиарного тракта — врожденные дефекты и пороки развития, нередко являющиеся причиной функциональных расстройств с последующим развитием воспалительных изменений и образованием конкрементов.
К аномалиям развития желчного пузыря относят несколько групп патологических состояний:
К аномалиям желчных протоков можно отнести:
В развитии аномалий играют роль несколько факторов. Один из них — генетический. На основании изучения семейных клинико-анамнестических данных высказываются предположения о доминантном механизме наследования с различной экспрессивностью генов в двух поколениях. По данным морфологических исследований обнаружены изменения состояния нервных окончаний в слизистой оболочке, что подтверждает врожденный характер. Определенное значение имеет врожденное недоразвитие мышечных волокон желчевыводящих путей и диспропорция роста желчного пузыря и его ложа в детском возрасте.
Приобретенные деформации желчного пузыря связаны с перихолециститом. Перегибы и перетяжки появляются вследствие образования спаек, сращений, фиксирующих желчный пузырь к соседним органам.
В клинической практике не всегда можно однозначно ответить на вопрос, являются ли деформации приобретенными или следствием аномалии развития.
В подавляющем большинстве случаев (у каждого пятого здорового ребенка) аномалии развития билиарного тракта не имеют клинических проявлений, обнаруживаются случайно при диагностических исследованиях или проведении профилактических мероприятий.
Однако некоторые аномалии могут проявляться картиной острого живота, например, блуждающий желчный пузырь вследствие нарушения кровообращения (перекрут брыжейки, сдавливание соседними органами), что обусловливает экстренную хирургическую помощь.
Аномалии развития делятся на малые и большие (МАР и БАР соответственно). К МАР относят незначительные деформации желчного пузыря. У детей с БАР имеется выраженный застой желчи, а также могут определяться билиарный сладж, микроконкременты и даже камни значительных размеров.
Следует отметить, что педиатры уделяют мало внимания билиарному сладжу или недостаточно информированы о его клиническом значении, хотя он считается начальной стадией желчнокаменной болезни (ЖКБ). Согласно проведенным исследованиям, у каждого пятого ребенка с билиарным сладжем в дальнейшем формируются камни в желчном пузыре.
Выделяют три основных варианта билиарного сладжа:
В клинической практике чаще всего встречается вариант билиарного сладжа в виде взвеси гиперэхогенных частиц (примерно 70 %), частота обнаружения двух других вариантов составляет около 10–12 %.
В последние годы камни в желчном пузыре и/или желчных протоках стали обнаруживаться чаще. Характерной особенностью является то, что у каждого второго ребенка заболевание развивается на фоне различных аномалий развития желчного пузыря и желчных протоков.
Застойные явления в желчном пузыре со временем ведут к дистрофическим процессам в стенке и нарушению его сократительной функции вплоть до атонии.
Существуют данные о связи аномалий развития билиарного тракта с хроническими заболеваниями печени у детей. Ведь нарушение пассажа желчи и ее застой в пузыре не могут не отразиться на функциональном состоянии органа.
Учитывая анатомо-топографические взаимоотношения общего желчного и вирсунгова протока, логично предположить, что при аномалиях желчевыводящих протоков возможно нарушение оттока секрета поджелудочной железы. В таких случаях происходит изменение деятельности железы вплоть до развития экзокринной недостаточности.
У 90 % детей с аномалиями развития обнаруживаются эхографические изменения поджелудочной железы в виде увеличения размеров хвоста, тела, головки, повышения или понижения эхогенности ткани органа, нечеткости контура и др.
Наличие перегибов, перетяжек, мембран, кист в билиарном тракте препятствует желчеотделению и может привести к нарушению энтерогепатической циркуляции желчных кислот, обусловливая нарушение всасывания липидов и жирорастворимых витаминов. В дальнейшем возможно развитие мальдигестии.
Клиническая практика
В поликлинике № 7 Гродно мы выполняем УЗИ органов брюшной полости как у детей с жалобами различного характера, так и с профилактической целью. В протокол исследования входят осмотр желчного пузыря и протоков. Обязательно осуществляется полипозиционное сканирование: лежа на спине, лежа на боку и стоя.
По нашим наблюдениям, патология желчевыводящих путей является наиболее распространенной (до 80 % случаев). Превалирующее большинство пациентов на приеме с аномальной формой желчного пузыря (около 40 %), нередко с застойными явлениями (10 %), встречаются также конкременты различного размера (1 %).
В основном жалобы предъявляются на периодические боли в животе, реже на тошноту, рвоту, неприятный запах изо рта. Также на приеме родители сообщают о наличии загиба желчного пузыря у них самих или ближайших родственников.
Замечено, что патологии желчного пузыря сопутствуют изменения в поджелудочной железе (13 %) в виде увеличения размеров и/или повышения эхогенности ее ткани, однако эти нарушения регистрируются при выраженных деформациях, сопровождающихся застоем желчи.
Застой желчи, или билиарный сладж, у детей визуализируется в виде взвеси гиперэхогенных частиц; другие варианты крайне редки. Конкременты выявляются независимо от возраста (даже у пациентов до 3 лет).
УЗИ является одним из основных методов диагностики аномалий развития и приобретенных деформаций желчного пузыря, в то же время в диагностике аномалий протоковой системы данное исследование не всегда информативно.
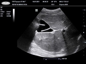
Рисунок. S-образные формы желчного пузыря. Результаты УЗИ.
Более достоверную картину анатомо-топографических взаимоотношений желчевыводящих путей и их аномалий обеспечивает использование рентгенологических методов (эндоскопическая ретроградная холангиопанкреатография, КТ).
Объективные данные об особенностях строения гепатобилиарной системы позволяют получить МРТ, бесконтрастная магнитно-резонансная холангиопанкреатография, динамическое контрастное усиление.
Вывод. Многие варианты аномалий развития билиарного тракта никак себя не проявляют и не имеют клинического значения, однако существуют аномалии, которые могут вносить значимый вклад в патогенез заболеваний как самой желчевыводящей системы, так и других органов (печени, поджелудочной железы, пищевода, желудка и кишечника), усугублять их течение, способствовать неблагоприятному исходу.
Источник: medvestnik.by
Комментарии закрыты.