Тестикулярные герминогенные опухоли

Фото носит иллюстративный характер. Из открытых источников.
Герминогенные опухоли представляют собой доброкачественные или злокачественные новообразования, которые развиваются из зародышевых клеток. Герминогенные опухоли яичка относятся к редким заболеваниям, на их долю приходится около 1 % всех опухолей у мужчин. При этом герминогенный рак яичка является самой распространенной солидной опухолью у молодых мужчин в возрасте от 18 до 34 лет. Заболеваемость продолжает неуклонно расти в течение последних 60 лет, поэтому патология требует внимания со стороны врачей терапевтического звена, повышения настороженности педиатров и ВОП, своевременного направления пациентов на консультацию к врачам-онкологам.
Клинические проявления
Выделяют 3 пика заболеваемости: 0–3 года, подростковый период, 25–45 лет.
Первые клинические признаки заболевания неспецифичны: увеличение в объеме пораженного яичка за счет плотного на ощупь образования, иногда с присоединением болевого синдрома. Редко рост опухоли может приводить к перекруту яичка, что требует экстренного хирургического вмешательства.
К сожалению, ряд пациентов не обращается вовремя за медицинской помощью, когда появляются первые симптомы. Опухоль довольно быстро метастазирует по лимфатическим и кровеносным сосудам в первую очередь в забрюшинные лимфоузлы и легкие.
При поражении легких чаще всего клинических проявлений нет, однако при перибронхиальных метастазах могут быть симптомы бронхита. Как правило, метастатическое поражение легких впервые выявляется на рентгенограмме или при помощи КТ.
При поражении забрюшинных лимфоузлов симптомы появляются тогда, когда пораженный конгломерат сдавливает близлежащие органы и ткани (почки, мочеточники, кровеносные и лимфатические сосуды, нервные пучки и т. д.) с нарушением их функции.
При дальнейшем распространении опухоли могут поражаться печень, селезенка, головной мозг, что резко ухудшает прогноз для пациента.
Диагностика
Минимальный диагностический комплекс включает:
При массивном распространении опухоли и высоких уровнях специфических онкомаркеров крови гистологическое исследование может не проводиться с целью скорейшего старта терапии.
Гистологически выделяют семиномные опухоли (прогностически более благоприятный вариант) и несеминомные опухоли (менее благоприятный). Последние характеризуются высокой гетерогенностью, что иногда затрудняет гистологическую оценку.
Лечение
Подразумевает проведение платиносодержащей полихимиотерапии в комбинации с хирургическим удалением остаточных образований. Лишь при 1-й стадии и отсутствии предикторов, ухудшающих прогноз, возможно обойтись только хирургическим лечением. Количество курсов полихимиотерапии устанавливается в соответствии с прогностической группой.
В соответствии с постановлением Минздрава от 05.12.2022 № 113 (данным документом утвержден клинический протокол «Диагностика и лечение детей с онкологическими и гематологическими заболеваниями»), пациенты в возрасте 22–30 лет с тестикулярными герминогенными опухолями группы высокого риска и рецидивами проходят лечение в РНПЦ детской онкологии, гематологии и иммунологии.
Применяемые в центре протоколы терапии позволили достичь высокой общей выживаемости при данной патологии — порядка 95 %. Тем не менее существует когорта пациентов с распространенным онкологическим процессом с поражением паренхиматозных органов и высоким уровнем онкологических маркеров. Это так называемая группа высокого риска, показатели излечиваемости которой не превышали 55 %. Изучение данной патологии, открытие новых предикторов неблагоприятного прогноза, а также новых методов лечения направлены в первую очередь на данную когорту пациентов.
Научные исследования
Специалисты РНПЦ ДОГИ совместно с РНПЦ ОМР им. Н. Н. Александрова проводят масштабную научно-исследовательскую работу по выявлению у пациентов с распространенным тестикулярным раком предикторов неблагоприятного прогноза и необходимости ранней интенсификации терапии с применением высокодозной полихимиотерапии с поддержкой аутологичной трансплантацией гемопоэтических стволовых клеток. Установлено, что одним из таких предикторов является замедленный клиренс онкологических маркеров на фоне проведения стандартной для данной группы пациентов терапии.
Кроме того, специалисты РНПЦ ДОГИ исследуют генетическую составляющую опухолевой экспансии. Согласно многочисленным литературным данным, прогностически значимыми являются мутации генов BRCA1, MGMT, RASSF1, APC и HIC. Наиболее частой «модификацией» генов является метилирование промоторов генов. Метилирование промоторов целого ряда генов приводит к развитию геномной нестабильности, что вносит существенный вклад в процесс опухолевой трансформации при тестикулярных герминогенных опухолях.
Сотрудниками РНПЦ ДОГИ разработан веб-инструмент для определения статуса метилирования.
Это первый в стране опыт создания единой платформы, позволяющей провести биоинформационную обработку данных секвенирования.
Инструмент автоматически обрабатывает данные бисульфитного секвенирования, формирует отчет о качестве таких данных, производит фильтрацию прочтений, осуществляет анализ степени метилирования. Простой и интуитивно понятный интерфейс позволяет исследователю сразу приступить к анализу без длительного изучения дополнительной документации. Кроме того, пользователю не придется беспокоиться о вычислительных мощностях своего компьютера, так как все расчеты осуществляются на сервере.
Несмотря на относительно недавний старт внедрения этой работы, удалось поднять выживаемость пациентов, регистрирующих плохой ответ на стандартное лечение, с 55 % до 70 %.
Случай из практики
Пациент, 15 лет, поступил в РНПЦ ДОГИ в связи с огромным новообразованием правого яичка.

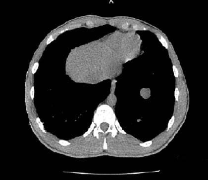
Рисунок 1. Метастатическое поражение легких тестикулярной герминогенной опухолью.Из анамнеза: новообразование заметил почти 10 месяцев назад, за медицинской помощью не обращался. С течением времени образование увеличивалось в объеме, появились субфебрильная температура, кашель. При обследовании по месту жительства выявлено образование правого яичка с метастазами в легких (согласно рентгенограмме). Пациент направлен в РНПЦ ДОГИ для дообследования и лечения.
Согласно данным функциональной и лучевой диагностики, онкологический процесс имел распространенный характер с поражением головного мозга, обоих легких, печени, селезенки, обеих почек.

Рисунок 2. Поражение правой тестикулы злокачественной герминогенной опухолью.Учитывая типичную локализацию опухоли и высокий уровень онкологических маркеров (бета-хорионический гонадотропин, лактатдегидрогеназа), гистологическая верификация не проводилась, была начата незамедлительно полихимиотерапия. После 2 курсов платиносодержащей полихимиотерапии — замедленный клиренс онкомаркеров, что привело к интенсификации терапии курсами полихимиотерапии 2-й линии.
Суммарно получил 8 курсов платиносодержащей полихимиотерапии, орхофуникулэктомию справа с последующими 2 курсами высокодозной полихимиотерапии с поддержкой аутологичной трансплантацией гемопоэтических стволовых клеток. Была достигнута неполная ремиссия с нормализацией онкомаркеров. Последним этапом лечения выполнено хирургическое удаление остаточных образований. Согласно данным гистологического исследования, имел место полный патоморфоз, т. е. все удаленные метастатические очаги полностью ответили на проведенное лечение.
Пациент находится в полной ремиссии уже на протяжении 2,5 года.
Источник: medvestnik.by
 
											
Комментарии закрыты.