Морфологическая диагностика в детской нефрологии

Фото носит иллюстративный характер. Из открытых источников.
Нефробиопсия для педиатрии — это не только ключевой момент в диагностике заболеваний, но и крайне важный аспект в понимании прогноза маленького пациента. О развитии морфологической диагностики в детской нефропатологии, а также важности оценки качества и эффективности лечения рассказала на научно-практической конференции с международным участием «Современная патологическая анатомия: достижения, вызовы и тренды» врач-патологоанатом, доцент кафедры патологической анатомии и судебной медицины БГМУ, кандидат мед. наук Виктория Савош.
Развитие детского направления в нефропатологии

Виктория СавошОсновоположником этого направления на кафедре патологической анатомии и судебной медицины БГМУ является профессор кафедры, доктор мед. наук Гарина Кравцова. Долгие годы она занималась морфологической диагностикой заболеваний почек у взрослых и первой в Беларуси стала исследовать детские нефробиопcии. Еще одним важным человеком в развитии детской нефрологии является заведующий 1-й кафедрой детских болезней БГМУ, академик НАН Беларуси Александр Сукало.
Его усилиями все биопсии почек у детей стали выполняться в единственном центре в Беларуси, что имеет крайне важное значение для унификации подходов к диагностике и подбору терапии. С 2005 года морфологическое исследование всех детских нефробиопсий выполняется на кафедре патологической анатомии и судебной медицины БГМУ, это еще более правильный подход, поскольку всеми этапами первичной диагностики почечного заболевания, в том числе и морфологическим, занимается одна и та же команда специалистов (нефрологов и патологов).
Биопсия почки назначается с целью:
Виктория Савош:
В своей практике мы используем в первую очередь гистохимические окраски, которые позволяют выявить комплекс морфологических изменений в ткани почек (клеточность клубочков, состояние базальных мембран, канальцев, интерстиция и т. д.). С 2006 года на кафедре активно внедряется иммуногистохимический метод исследования. Мы постоянно расширяем спектр тех маркеров, которые используем. Если когда-то начинали только с одного маркера — антитела к иммуноглобулину А, то сейчас оцениваются экспрессия разных классов иммуноглобулинов, компонентов системы комплемента, различные маркеры клеточной дифференцировки лимфоцитов, эпителиальные и вирусные маркеры, субъединицы коллагена 4-го типа для диагностики наследственных нефритов и т. д.
Еще один метод, который зачастую имеет ключевое значение в постановке диагноза, — электронная микроскопия. За период с 2005 года было выполнено более 1 000 нефробиопсий. В 2013-м, в связи с развитием в стране трансплантации почек, в том числе детям, появился дополнительный вид биопсии — биопсия трансплантата. Таким образом, у нас имеется новый объект для исследования и новый материал для оценки.
Морфологические диагнозы
Структура морфологических диагнозов в детской нефрологии, выставленных на кафедре с 2005 по 2022 год, крайне разнообразна (см. рисунок). Достаточно большую группу составляют болезнь минимальных изменений, IgA-нефропатия/васкулит, фокальный сегментарный гломерулосклероз (ФСГС) и широкий спектр редких нозологий, которые встречаются единично. Основные диагнозы, с которыми специалисты сталкиваются практически каждый день, широко распространены, по данным регистров заболеваний почек разных стран.
Виктория Савош:
Показания, которые предшествуют биопсии, не настолько разнообразны, как морфологические диагнозы. Больше половины наших пациентов — это пациенты с изолированной гематурией либо гематурией в сочетании с протеинурией донефротического уровня. И в этой структуре доминирующим является IgA-нефропатия, первичная либо вторичная (IgA-ассоциированный васкулит).
С одной стороны, заболевание достаточно распространенное и относительно неплохо изученное, но гетерогенное как клинически, так и морфологически. Оно может быть представлено разными изменениями клубочков — от минимальных, с незначительной мезангиальной пролиферацией, до тяжелых экстракапиллярных изменений. Таким образом, заболевание одно, но клинические и морфологические проявления его разные. Здесь остро стоит вопрос его прогноза. Следуя современным тенденциям, мы используем оксфордскую классификацию MECST, которая позволяет оценить прогноз и дает возможность нефрологам персонализировать выбор лечения пациентов и снизить риск развития хронической почечной недостаточности.
Протеинурические формы нефропатий (нефротический синдром и изолированная протеинурия) также являются достаточно частым основанием для проведения нефробиопсии. И если с нефротическим синдромом никаких неожиданностей нет (самая частая причина развития этого заболевания в педиатрии — болезнь минимальных изменений), то нефропатия с протеинурией — гораздо более разнородная группа, в которой могут встречаться неожиданные ситуации, когда ожидаемый диагноз не совпадает с тем, что реально мы в конечном итоге видим у пациента.
Симптоматика схожая — диагнозы разные
В анамнезе маленького пациента персистирующая протеинурия с 9-месячного возраста. Нефробиопсия была выполнена ему в 2002 году в возрасте 4 лет. На тот момент специалисты еще не использовали иммуногистохимический метод исследования, поэтому после светооптического анализа ребенку был выставлен диагноз ФСГС. Протеинурия возрастала (до 4 г/сутки), к 14 годам у ребенка появился стероид-резистентный нефротический синдром. В 2013 году, более чем через 10 лет после предыдущей биопсии, было принято решение выполнить повторную нефробиопсию.
Виктория Савош:
Мы увидели ситуацию, которая соответствует морфологии ФСГС с наличием сегментарного гломерулосклероза, формированием спаек периферических капиллярных петель с капсулой Шумлянского — Боумена, иммуногистохимически при этом отмечалась доминантная мезангиальная экспрессия IgA. Дополнительно было выполнено иммуногистохимическое исследование с субъединицами коллагена 4-го типа, на котором получили абсолютно нормальную картину, а также электронная микроскопия, исключившие диагноз наследственного нефрита. Подростку был выставлен диагноз IgA-нефропатии.
Одновременно и у младшей сестры пациента наблюдалась протеинурия до 0,4 г/л, которая увеличивалась на фоне интеркуррентных заболеваний. Это ставило перед специалистами вопрос: какое же заболевание у второго ребенка в данной семье? При выполнении иммуногистохимического исследования они увидели практически нормальные клубочки, отрицательное окрашивание с IgА, но при этом отсутствие экспрессии альфа-3 субъединицы коллагена 4-го типа. Электронная микроскопия показала разволокнение и неравномерное утолщение базальных мембран, что соответствует диагнозу «синдром Альпорта».
Виктория Савош:
Таким образом, два ребенка из одной семьи имели схожую симптоматику, но разные заболевания. Эта ситуация лишний раз подчеркивает крайнюю важность электронно-микроскопического исследования в детской нефрологии. Биопсия без электронной микроскопии закрывает нам возможность диагностировать целый ряд заболеваний.
Под маской почечной недостаточности
Еще одним любопытным для специалистов, но неприятным для пациента показанием для биопсии является почечная недостаточность.
Виктория Савош:
Диагностика острой почечной недостаточности не таит сюрпризов. Самая частая причина, по данным литературы и нашей практики, — острый тубулоинтерстициальный нефрит, вызванный приемом лекарственных препаратов, среди которых лидирует ибупрофен.
В отношении хронической почечной недостаточности не все так однозначно. К сожалению, есть достаточно большая группа (практически 40 %) пациентов, которым мы не можем установить первичный нозологический диагноз и вынуждены только констатировать сам факт развития диффузного нефросклероза. Это не позволяет никаким образом повлиять в дальнейшем на лечение таких пациентов после трансплантации, чтобы избежать рецидива заболевания.
Кроме того, под маской почечной недостаточности могут скрываться нетипичные состояния, которые даже клиницисты не всегда могут характеризовать четко. Мы получаем гистологические материалы пациентов, имеющих некую недостаточность, без уточнения длительности развития и предположения ее генеза.
Случай редкого диагноза
Виктория Савош:

Фото 1.Приведу пример — заболевание у брата (13 лет) и сестры (9 лет) с неотягощенной наследственностью, у которых с раннего возраста отмечался упорный энурез. На фоне переносимой инфекции практически одновременно у детей ухудшилось самочувствие, и они были госпитализированы. На УЗИ были выявлены выраженные диффузные изменения в паренхиме обеих почек без значимого изменения их размеров.
По результатам общего и биохимического анализов крови обнаружены увеличение уровней мочевины (более 15–20 мкмоль/л) и креатинина (более 270 мкмоль/л), признаки декомпенсированного метаболического ацидоза, анемия при нормальном уровне сывороточного железа, в анализах мочи — снижение удельного веса мочи с сохранением объема диуреза, полиурия на фоне развивающихся метаболических нарушений.
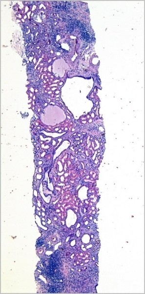
Была выполнена нефробиопсия, которая показала у обоих детей схожие изменения в ткани почек, связанные с образованием множества канальцевых кист (см. фото 1) с выраженной круглоклеточной инфильтрацией и фиброзом стромы, атрофией канальцевого эпителия, утолщением и удвоением базальных мембран (в том числе неатрофичных канальцев) (см. фото 2).

Фото 2.
На основании клинических и морфологических изменений детям был выставлен диагноз достаточно редкого наследственного заболевания — комплекс «нефронофтиз — медуллярная кистозная болезнь». наследуется аутосомно-рецессивно, но так совпало, что оба ребенка в семье получили именно тот ген, который привел к развитию болезни. На данный момент пациенты вышли на ХПН и перенесли пересадку почек.
Эксперт рассказывает, что не менее интересный случай непонятной почечной недостаточности выявлен у совершенно юного пациента, который родился с анурией, нарастающей почечной недостаточностью (мочевина 35,5 ммоль/л, креатинин — 350 ммоль/л). Ребенок родился в гестационном сроке 38 недель, но с низкой оценкой по шкале Апгар и низкой массой (2 100 г). На 15-й день жизни ему была выполнена биопсия.
Виктория Савош:

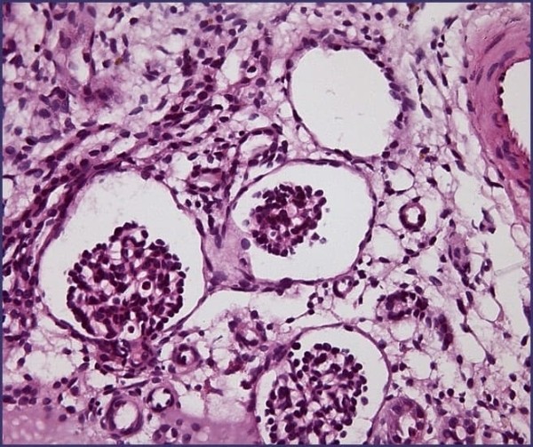
Фото 3.В материале нефробиопсии в первую очередь бросалось в глаза расширение капсулы Шумлянского — Боумена у всех клубочков, просвет которой был заполнен неким гомогенным содержимым (см. фото 3). Обращала на себя внимание нестандартность внешнего вида канальцев. Мы выполнили иммуногистохимическую окраску с эпителиальным мембранным антигеном (маркером дистальных почечных канальцев) (на фото 4 — норма) и установили, что практически все канальцы экспрессируют этот маркер, т. е. проксимальные почечные канальцы в биоптате отсутствуют (см. фото 5).
Таким образом, мы вышли на редкую патологию — дисгенезию проксимальных почечных канальцев. Как правило, она является летальным заболеванием и приводит к врожденной почечной недостаточности. Чаще всего дети рождаются мертворожденными, с признаками синдрома Поттера. В медицинской литературе крайне мало описанных случаев живорождения при подобном состоянии.

Фото 4.
Данный случай уникален еще и тем, что ребенку с дисгенезией проксимальных почечных канальцев в трехдневном возрасте был начат перитонеальный диализ, который в последующем проводился в течение нескольких лет. Затем пациенту пересадили почку. В настоящий момент это уже подросток, который ведет активную жизнь, занимается спортом и не имеет каких-либо проблем со здоровьем.

Фото 5.
Виктория Савош:
Подчеркну, что ни один из диагнозов, будь то рутинный или какой-то уникальный, мы не смогли бы поставить без тесного сотрудничества с врачами-нефрологами.
Источник: medvestnik.by
Комментарии закрыты.